肺腺癌
Lung cancer Adenocarcinoma
もくじ
執筆者
肺腺癌とは
肺腺癌は腫瘍細胞が管のような肺がんです。
肺腺癌は喫煙との関係性は明らかではなく、女性の肺がんの約七割です。
肺腺癌は肺の枝の先端の肺野と呼ばれる部分にできやすく、発育は遅いが、転移しやすく抗がん剤や放射線の感受性が低い癌です。

国立がん研究センター 肺腺がんについて
肺腺癌の症状
肺腺癌は無症状であることが多く、咳、痰、血痰、胸痛などの症状があります。
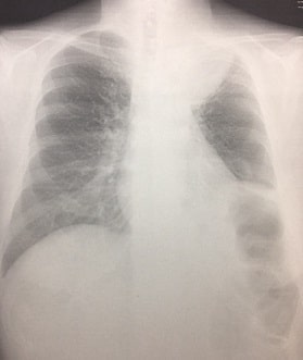
胸部X線検査では、肺野にノッチサイン(notch sign)やスペキュレーション(speculation)、胸膜嵌入像(きょうまくかんにゅうぞう)を伴う場合は、肺腺癌を疑います。
ノッチサインとは、肺がんの胸部エックス線で見られる凹凸像のことです。
スペキュレーションとは胸部X線上に見られる周囲の索状に見えるかげのことです。
胸膜嵌入像とは胸部X線で肺に胸膜が入り込んで肺の縁がめくれているように見える像のことです。
肺腺癌の検査
肺腺癌の確定診断のための検査は喀痰細胞診や擦過細胞診です。
細胞診検査には、気管支ファイバースコープや経皮生検などで行います。

肺腺癌の病院での治療
ステージ1と2では手術
ステージ3aのT3N1M0なら完全切除を前提の手術
ステージ3b、4は、抗がん剤と放射線療法
まとめ
肺腺癌はタバコを吸わない女性にも多く、初期の自覚症状が少ない癌で、発育は遅いが、骨、脳、他の臓器に転移しやすく、抗がん剤や放射線が効きにくいこともあり、初期に手術を勧められる肺がんです。
肺がん 関連リンク
お友達にシェアする!
参考文献
国立がん研究センターの肺がんの本
株式会社 小学館クリエイティブ
2018年 6月27日発行
最新版 肺がんがわかる本
株式会社 法研
1990年 11月30日 発行
肺腺がん 関連外部リンク
What Is Lung Cancer? | Types of Lung Cancer
American Cancer Society, Inc.
Lung Cancer Types
The Johns Hopkins University
Lung Adenocarcinoma
National Library of Medicine