扁平上皮癌
Lung squamous epithelial cancer
もくじ
執筆者
扁平上皮癌とは
扁平上皮癌とは、肺のがん細胞が平らになっている悪性腫瘍のことです。

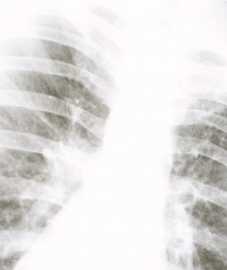
東京慈恵会医科大学附属柏病院 扁平上皮がん
扁平上皮癌の原因
扁平上皮癌は、男性に多く、喫煙との関係が指摘されています。
扁平上皮癌の症状
扁平上皮癌は、肺門部の太い気管支部分で発生することが多いので、肺腺癌などに比べ、早期に、咳、血痰、胸痛などが出現します。

扁平上皮癌の特徴
扁平上皮癌は40歳以上のヘビースモーカーの男性に多く、咳、喀痰、血痰などの症状が見られるのが特徴です。
扁平上皮癌の検査
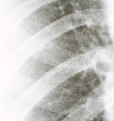
扁平上皮癌は胸部X線で肺門部やその周辺に腫瘤陰影がみられて、無気肺や空洞を伴っている場合に疑われます。
喀痰細胞診の8割以上で陽性を示します。
確定診断は、腫瘍マーカー(SCC)、喀痰細胞診、気管支ファイバーでおこないます。
血痰とは
血痰とは起動や肺胞内の血管が破綻して出血したものが痰に混ざって出てきたものです。
空洞とは
肺などの臓器で一部が腐ってその壊死した部分が取り除かれた部分です。
腫瘍マーカーとは
腫瘍マーカーとは悪性腫瘍によって異常につくられる血液中の物質を検査することです。
SCCとは
Squamous cell carcinoma related antigen の略です。
扁平上皮がんは肺だけでなく人体の様々な場所で発生します。
SCCは肺の扁平上皮がんに対して約60%の陽性を示します。
お友達にシェアする!
参考文献
国立がん研究センターの肺がんの本
株式会社 小学館クリエイティブ
2018年 6月27日発行
肺扁平上皮癌 関連外部リンク
Squamous Cell Lung Cancer
National Library of Medicine
Squamous cell carcinoma of the lungs: 5 things to know
The University of Texas MD Anderson Cancer Center
Squamous Cell Carcinoma of the Lung
Harvard Medical School.