肺小細胞癌
Small cell lung cancer
もくじ
執筆者
肺小細胞癌とは
小細胞癌とは小さな腫瘍細胞が肺門部などの中枢側に発生しやすく、発育や転移が速いので、予後が不良の肺がんです。
小細胞癌は扁平上皮がんと同様にヘビースモーカーの男性に多い肺がんです。

オンコロ 小細胞肺がんとは
肺小細胞癌の症状
小細胞癌の症状は咳や喀痰などです。
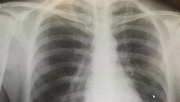
肺小細胞癌の検査
小細胞癌は、胸部エックス線で中枢側の腫瘤性陰影、肺門や縦隔のリンパ節の腫大が確認できることがあります。
喀痰細胞診でリンパ球様の小型細胞や燕麦細胞が見られることがあります。
上記に加え、イートンランバート症候群、上大静脈症候群、内分泌異常が見られる時、肺がんの小細胞癌を疑います。

肺小細胞癌のホルモン分泌異常
小細胞癌の内分泌異常の特徴は、ACTHとADHの数値が上昇します。
ATCHはadrenocorticotropic hormoneの略で、脳の下垂体前葉と言う部分から分泌される副腎皮質刺激ホルモンです。
副腎からステロイドホルモンを分泌させるためのホルモンです。
ADHはAntidiuretic hormoneの略で、脳の下垂体後葉から分泌される抗利尿ホルモンです。
ADHは別名をバソプレシンと言い、このホルモンにより、おしっこを出なくして、血圧を高く保とうとします。
イートンランバート症候群とは
イートンランバート症候群とは40歳以上の男性に多い筋無力症候群です。体感に近い筋肉が疲れやすく、反復運動をすることで筋力が回復することが特徴です。
上大静脈症候群(SVC症候群)とは
上大静脈が圧迫、閉塞されるために静脈の還流が障害され、頭、首、腕などに違和感や痛みなどをともないます。
燕麦細胞とは
小細胞癌にみられる、小さな燕麦用の細胞です。
燕麦(えんむぎ)とは、いわゆるオートミールで、大きめのご飯粒を潰して平たくしたような型のものです。
肺小細胞癌の余命
小細胞癌の5年生存率は他の肺がんに比べて低く100人中2人程度と言う統計があります。
お友達にシェアする!
参考文献
肺がん
坪井 正博
主婦の友社 2017
小細胞肺癌 関連外部リンク
小細胞肺癌の治療方針
日本肺がん学会
小細胞肺癌 アテゾリズマブ(遺伝子組換え)
厚生労働省
Small Cell Lung Cancer Treatment (PDQ®)–Patient Version
National Cancer Institute USA.gov